宮崎blog
[2013年06月22日]
副院長の宮崎です。
梅雨に入り蒸し暑い日が続いておりますが皆様いかがお過ごしでしょうか。
先日まとまった雨が降りましたが今年の梅雨は雨が少ないようですね。
季節の変わり目は人だけでなく動物も体調を崩しやすいです。
どんな些細な事でも構いません。
気になることがあれば何でもご相談下さい。
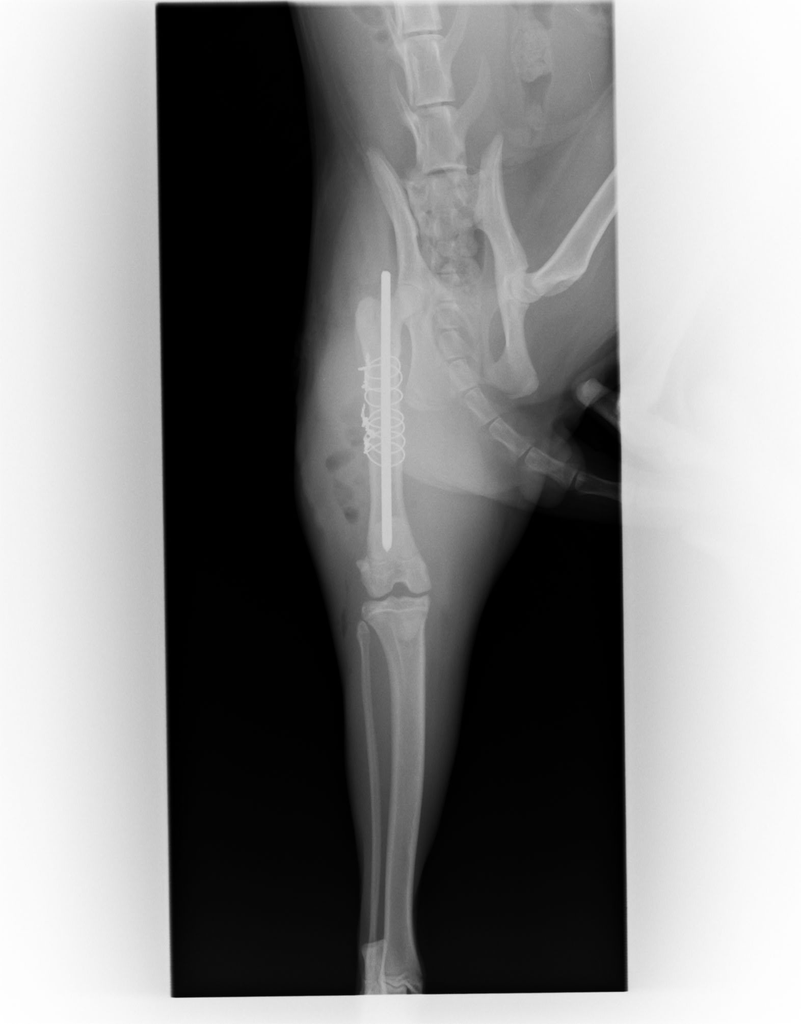
さて今回のブログは先日当院で行った猫ちゃんの骨折について載せさせていただこうと思います。
大腿骨の粉砕骨折のため入院し手術を行いました。
手術は無事成功し今では元気にしています。
元気な姿をみると手術を行って良かったなあと改めて感じます。
当院が開業し三ヶ月が過ぎました。
この三ヶ月はかなりバタバタし皆様にもご迷惑をお掛けしたことと思います。
もし皆様も当院の改善点があれば申し出て下さい。
可能な限り改善し、より良い医療を提供できればと思います。















